Emergency Dental Care in Fairfax, VA
At Braddock Family Dental we understand that dental emergencies are distressing and need immediate attention. We are committed to providing prompt, compassionate emergency dental treatment to the residents of Fairfax and the surrounding area. Dr. Cho and our team reserve a block of time every day for emergency appointments, giving us time to prescribe the right medications, take diagnostic X-rays and imaging, and do the right treatments to get you out of pain and back to your life.
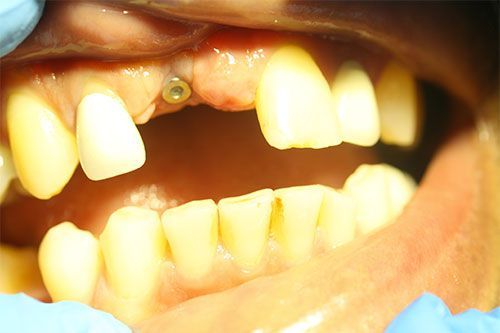
WHAT IS A DENTAL EMERGENCY
Dental emergencies can occur unexpectedly. They include
broken teeth/lost fillings, knocked out teeth, severe tooth pain, and swelling, and range from mild discomfort to severe trauma. Knowing what constitutes an emergency dental situation can help you to take immediate action and receive the appropriate care when necessary. Here are some situations that could indicate a dental crisis:
Contact our office if you are unsure if your situation is a dental crisis. If you need help, our staff will be happy to provide advice over the phone. They can also schedule an urgent appointment.
What to Expect During Emergency Dental Care
Braddock Family Dental is committed to providing compassionate and prompt emergency dental care for our patients in Fairfax and surrounding communities. Don't hesitate to contact us if you are experiencing a dental crisis. We will do our best to restore your smile and address your needs.
- Immediate Evaluation: Our team assesses pain, injury location, and medical history.
- Digital Diagnostic Imaging: X‑rays help pinpoint fractures, infections, or internal damage.
- Diagnosis & Personalized Treatment Plan: We explain all findings and propose treatment options before care begins.
- Pain Management: We prioritize comfort with local anesthesia, medication, or temporary measures.
- Treatment Completion: Depending on the issue, we may complete care in one visit or outline a treatment timeline.
- Aftercare Instructions: You’ll receive detailed guidance for healing — including what to eat, how to manage pain, and follow‑up scheduling.
Emergency Dental Care Costs & Financing Options
Typical Emergency Treatment Cost Range
- Toothache exam & X‑rays: $150–$300
- Root canal therapy: $700–$1,500 (varies by tooth)
- Extraction: $150–$600
- Crown placement: $800–$1,600
- Emergency visit/consultation fee: $100–$200
Exact fees vary based on condition and treatment required. A personalized estimate is provided after your exam.
Insurance & Payment Options
We accept most major dental insurance plans and file claims on your behalf.
Flexible Financing
To make emergency care affordable, we offer:
- CareCredit payment plans
- In‑office financing options
- Low or no-interest plans based on approval
Our team will walk you through
payment options and help you find a solution that fits your family budget.

MEET DR. CHO - BRADDOCK FAMILY DENTAL
When patients are happy, I’m happy. When a person appreciates what my team and I have done, it’s a beautiful moment!
Some people come in with low self-esteem, because they are missing a front tooth or two. That has left them feeling ashamed and as a result they don’t smile and possibly haven’t smiled for a very long time. Restoring those missing teeth, with natural-looking materials, can instill new confidence and boost their self-esteem. They walk out with a smile that’s brimming with joy!
Dentistry, to me, is about helping people change their lives. Whether that’s restoring function, removing pain, or making a smile more attractive, I want each patient to leave the office looking and feeling better than when they arrived.
Patient Reviews at
Braddock Family Dental
PATIENT TESTIMONIALS - WHAT OUR PATIENTS ARE SAYING
Braddock Family Dental - Nick's Testimonial
" Hi my name is Nick, and for many years i have been trying to find a good dentist, to take care of my dental needs. For many years my confidence level was on an all time low. I have been very fortunate to find Dr. Cho at Braddock Family Dental.
Since i started coming here i have my SMILE and CONFIDENCE BACK!"
Emergency Dental Care FAQs
What counts as a dental emergency?
Any situation involving severe pain, bleeding, trauma to teeth or jaw, swelling, infection, or a lost tooth/crown that affects comfort or function.
Should I go to the ER for a dental emergency?
For serious facial trauma, uncontrollable bleeding, or difficulty breathing/ swallowing, the ER may be necessary. For dental pain, broken teeth, or lost restorations, call our office first so we can provide urgent dental care.
How soon should I see a dentist after an injury?
Ideally within 24 hours — faster for knocked‑out teeth or severe pain.
Can dental infections make you sick?
Yes. Untreated oral infections can spread and lead to fever, facial swelling, or systemic illness.
What if my child knocks out a baby tooth?
Contact our office right away. Baby teeth have different treatment protocols, but quick action helps protect the adult tooth beneath.
FREE CONSULTATION
Fill out the Form below to request a Free Consultation




